皆さんこんにちは🌞歯科衛生士の三浦です。
とっても寒くなりましたね☃️
皆様体調崩してませんか?2025年も残りわずかとなりました。
ラストスパート駆け抜けていきましょうね💪
そんな私が今日するお話は「オーバーブラッシングについて」です🦷🪥
毎日ちゃんと歯を磨いているのに、
・歯がしみる
・歯ぐきが下がってきた気がする
・歯ブラシがすぐ広がる
こんなこと、ありませんか?
実はそれ、オーバーブラッシング(磨きすぎ)が原因かもしれないんです、、😨
オーバーブラッシングというと
「磨きすぎ=長時間磨いていること」
と思われがちですが、本当の原因は「力の入れすぎ」がほとんどです。
ゴシゴシ強く磨くと、汚れは落ちているように感じますが、歯や歯ぐきを少しずつ傷つけてしまいます😭
その結果、
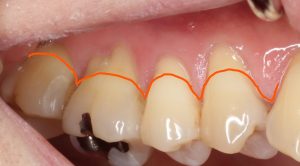
・知覚過敏
・歯ぐきが下がる
・歯の根が見えてくる
といったトラブルにつながることも、、
こんな感じです💦
実際、当院でも「頑張って磨いてます!」
という方ほど、オーバーブラッシングになっているケースは少なくありません。
歯磨きで大切なのは、時間よりも力加減。
目安は、歯ブラシを歯に当てたときに毛先が少ししなるくらいで十分です。
もし、
・歯ブラシがすぐ広がる
・磨いたあと歯ぐきがヒリヒリする
そんなサインがあれば、一度磨き方を見直してみると良いかもしれません😌
「ちゃんと磨く」=「強く磨く」ではないので、歯と歯茎を守るために、優しい歯磨きを意識していきましょう。
磨き方が不安な方は、いつでも私たちになんでも相談してくださいね😊✨







